Viêm phổi kẽ tróc vảy (Desquamative interstitial pneumonia – DIP) là một bệnh gây ra bởi đại thực bào xâm nhập vào phế nang, viêm kẽ và xơ hóa phổi. Khoảng 90% các trường hợp viêm phổi kẽ tróc vảy có liên quan đến hút thuốc lá, người làm việc trong môi trường khói bụi thường xuyên.
Tìm hiểu chung
Viêm phổi kẽ tróc vảy là gì?
Viêm phổi kẽ tróc vảy là một dạng hiếm gặp của viêm phổi kẽ vô căn (Idiopathic interstitial pneumonias – IIP) được phân loại theo hướng dẫn phân loại đồng thuận đa ngành quốc tế của Hiệp hội Lồng ngực Hoa Kỳ/Hiệp hội Hô hấp Châu Âu.
Viêm phổi kẽ tróc vảy là một dạng viêm phổi kẽ vô căn có số lượng đại thực bào tăng cao trong phế nang (túi khí) của phổi. Các đại thực bào phế nang có sắc tố màu nâu nhạt đặc trưng và tích tụ trong lòng phế nang và vùng vách ngăn của thùy dưới của phổi. Các tác động điển hình của sự tích tụ đại thực bào là viêm và sau đó là xơ hóa (dày lên và cứng) của mô phổi. Viêm phổi kẽ tróc vảy là một loại viêm phổi kẽ nguyên phát chủ yếu liên quan đến hút thuốc, phơi nhiễm chủ động hoặc thụ động với khói thuốc lá.
Triệu chứng
Những dấu hiệu và triệu chứng của viêm phổi kẽ tróc vảy
Viêm phổi kẽ tróc vảy là một bệnh phổi kẽ phổ biến nhất liên quan đến hút thuốc lá. Nó gây ra các triệu chứng hô hấp bao gồm ho khan và khó thở tăng dần. Các phát hiện đặc trưng trên chụp CT bao gồm mờ kính mờ hai bên, vách ngăn dày lên và cấu trúc phổi vẫn được bảo tồn.
Một số triệu chứng khác cũng được ghi nhận như mệt mỏi, sụt cân, đau ngực, khám phổi nghe ran nổ. Một số biểu hiện khác như ngón tay dùi trống, biến chứng tràn khí màng phổi cũng có thể xảy ra. Ho ra máu hiếm khi xảy ra. Đôi khi, người mắc bệnh không có triệu chứng rõ ràng, các triệu chứng tiến triển âm thầm và khi bùng phát thì sẽ trầm trọng hơn.
Khi nào cần gặp bác sĩ?
Nếu có bất kỳ triệu chứng nào nêu trên xảy ra, bạn nên liên hệ ngay với bác sĩ để được kiểm tra và tư vấn. Chẩn đoán và điều trị sớm sẽ giảm nguy cơ tăng nặng của bệnh và giúp bạn mau chóng hồi phục sức khỏe.
Nguyên nhân
Nguyên nhân dẫn đến viêm phổi kẽ tróc vảy
Hút thuốc lá là nguyên nhân hàng đầu chiếm 90% nguy cơ mắc bệnh viêm phổi kẽ tróc vảy. Bên cạnh đó còn có một số nguyên nhân sau:
- Nhiễm Cytomegalovirus, viêm gan C, độc tố nấm mốc, nitrofurantoin.
- Sử dụng chất hướng thần hoặc mắc bệnh mạn tính.
- Bệnh lupus ban đỏ hệ thống, bệnh xơ cứng bì hệ thống, viêm khớp dạng thấp, hội chứng rối loạn sinh tủy và bệnh lơ xê mi dòng mono.
- Tiếp xúc với môi trường/nghề nghiệp có nhiều khói bụi mịn, tiếp xúc với nhôm, sợi vải vụn, hạt bụi vô cơ, sợi nylon,…

Nguy cơ
Những ai có nguy cơ mắc phải viêm phổi kẽ tróc vảy?
Viêm phổi kẽ tróc vảy thường xảy ra ở người trung niên đến lớn tuổi, tuy nhiên vẫn có các trường hợp trẻ em mắc bệnh này. Nam giới dễ mắc bệnh hơn nữ giới. Hút thuốc lá được xác định là có liên quan tới 90% nguy cơ mắc bệnh này, tuy nhiên hút thuốc lá thụ động (hít khói thuốc lá) cũng có khả năng mắc bệnh như hút thuốc lá chủ động.
Yếu tố làm tăng nguy cơ mắc phải viêm phổi kẽ tróc vảy
Một số yếu tố làm tăng nguy cơ mắc viêm phổi kẽ tróc vảy, bao gồm:
- Rối loạn hệ thống/tự miễn dịch, ví dụ như viêm khớp dạng thấp, xơ cứng bì.
- Nhiễm trùng, nhiễm HIV.
- Tiếp xúc với độc tố, nghề nghiệp hoặc môi trường.
- Sử dụng một số loại thuốc.
Phương Pháp Chẩn Đoán & Điều Trị
Phương pháp xét nghiệm và chẩn đoán viêm phổi kẽ tróc vảy
Một số biểu hiện lâm sàng giúp chẩn đoán bệnh viêm phổi kẽ tróc vảy gồm:
- Bắt đầu khó thở và ho khan dần dần trong nhiều tuần hoặc nhiều tháng.
- Khó thở dẫn đến tím tái do thiếu oxy trong máu.
- Khoảng 50% bệnh nhân có kiểu hình ngón tay dùi trống.
Chẩn đoán viêm phổi kẽ tróc vảy thường dựa vào hình ảnh X-quang ngực hoặc hình ảnh trên CT ngực. Hình ảnh CT thường biểu hiện là tổn thương kính mờ lan tỏa không đồng nhất tương ứng với các tổn thương thâm nhập đại thực bào ở phế nang và dày các vách liên phế nang.

Kiểm tra chức năng hô hấp cũng được thực hiện, bệnh nhân mắc bệnh viêm phổi kẽ tróc vảy thường có rối loạn thông khí hạn chế với dung tích phổi toàn phần (TLC) và dung tích sống gắng sức (FVC) giảm.
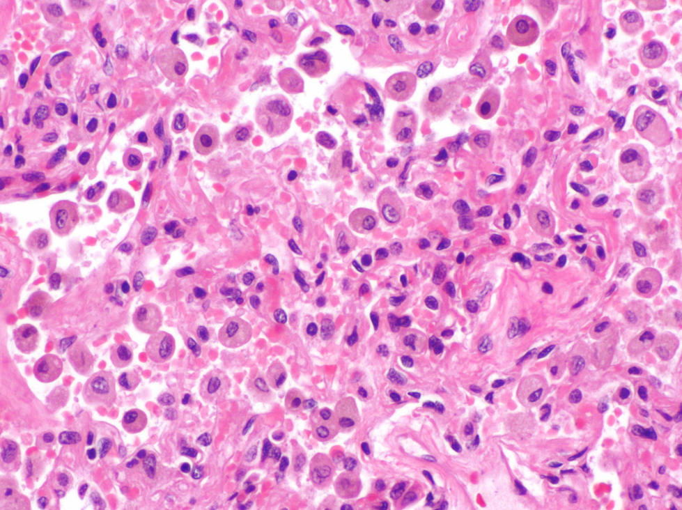
Sinh thiết mô phổi để quan sát đặc điểm mô bệnh học cũng được thực hiện để đánh giá viêm phổi kẽ tróc vảy. Đặc điểm trên hình ảnh mô bệnh học là sự thâm nhiễm đều của các đại thực bào sắc tố ở khoang phế nang, phân bố chủ yếu ở nơi bị tổn thương. Đại thực bào sẽ có bào tương màu nâu vàng, chứa các hạt mịn màu đen. Vách phế nang dày lên, có lắng đọng collagen.
Ngoài ra, một số xét nghiệm đặc hiệu như rửa phế quản phế nang (Bronchoalveolar lavag – BAL).
Phương pháp điều trị viêm phổi kẽ tróc vảy hiệu quả
Đa số bệnh nhân mắc bệnh viêm phổi kẽ tróc vảy thường có tiền sử hút thuốc lá lâu năm, do đó nếu bệnh nhân là đối tượng nghiện thuốc là thì điều tiên quyết là bệnh nhân phải ngừng hút thuốc. Nếu bệnh nhân vẫn tiếp tục hút thuốc thì bệnh có thể tiến triển nặng hơn, có nguy cơ tử vong cao hơn.
Tiếp theo là điều trị bằng thuốc như corticosteroid hoặc liệu pháp ức chế miễn dịch. Tuy nhiên, khi giảm hoặc ngừng sử dụng corticosteroid, tất cả bệnh nhân đều tái phát. Ý kiến của các chuyên gia hiện tại ủng hộ dùng corticosteroid liều trung bình 40 – 60 mg prednisone kéo dài trong 2 tháng, sau đó giảm dần trong 2 tháng sau đó.

Đa số bệnh nhân mắc bệnh viêm phổi kẽ tróc vảy được điều trị kịp thời đều có tiên lượng tốt, tỷ lệ sống kéo dài thêm 10-12 năm kể từ lúc được chẩn đoán và điều trị. Tuy nhiên, vẫn có một số ít tỷ lệ bệnh nhân có phổi tiến triển thành xơ hóa, tổn thương dạng tổ ong, giảm thời gian sống; một số trường hợp khác phát hiện ung thư phổi trong quá trình điều trị.
Nếu bệnh trầm trọng hơn và các phương pháp trên không hiệu quả, có thể ghép phổi. Tuy nhiên phương pháp này chỉ giúp kéo dài sự sống chứ không thể điều trị khỏi hoàn toàn vì bệnh viêm phổi kẽ tróc vảy có thể tái phát ở những người được ghép phổi. Ngoài ra, chi phí ghép phổi và hiến tặng phổi không phải dễ dàng, do đó nên ưu tiên áp dụng điều trị bằng các phương pháp trên.
Chế Độ Sinh Hoạt & Phòng Ngừa
Những thói quen sinh hoạt có thể giúp bạn hạn chế diễn tiến của viêm phổi kẽ tróc vảy
Chế độ sinh hoạt:
- Luôn suy nghĩ tích cực, hạn chế căng thẳng. Căng thẳng, áp lực quá nhiều sẽ làm nặng hơn tình trạng khó thở.
- Tuân thủ điều trị của bác sĩ, thông báo cho bác sĩ nếu có bất thường trong quá trình điều trị.
- Tái khám định kỳ để được theo dõi tình trạng sức khỏe bởi bệnh này có thể tiến triển âm thầm và khi bùng phát thì tình trạng đã trầm trọng hơn.
- Bởi vì bệnh có thể gây khó thở, do đó những yếu tố tâm lý có thể ảnh hưởng đến việc trầm trọng hơn tình trạng khó thở, ảnh hưởng rất lớn đến điều trị. Người bệnh nên giữ tinh thần thoải mái, giao tiếp và chia sẻ với người xung quanh. Lưu ý, lông chó mèo hoặc bụi phấn cũng có thể gây kích ứng dẫn đến khó thở. Do đó nếu người bệnh muốn nuôi chó mèo để giải tỏa căng thẳng thì lưu ý tránh hít phải lông chó mèo.
Chế độ dinh dưỡng:
- Uống nhiều nước.
- Xây dựng chế độ dinh dưỡng khoa học.
- Ăn nhiều rau xanh, tăng cường bổ sung các thực phẩm chứa nhiều chất chống oxy hóa để hỗ trợ kháng viêm hiệu quả.

Phương pháp phòng ngừa viêm phổi kẽ tróc vảy hiệu quả
Để phòng ngừa bệnh hiệu quả, bạn có thể tham khảo một số gợi ý dưới đây:
- Không hút thuốc lá, nếu có thì nên ngưng hút thuốc vì thuốc lá là một trong những nguyên nhân chính dẫn đến bệnh viêm phổi kẽ tróc vảy.
- Nếu làm việc trong môi trường có nhiều khói bụi thì nên trạng bị trang phục bảo hộ, đặc biệt là khẩu trang lọc bụi mịn, kiểm tra sức khỏe nói chung và kiểm tra chức năng phổi định kỳ. Nếu được thì cân nhắc thay đổi công việc ít tiếp xúc khỏi bụi hơn.
- Tránh những nơi khói bụi, ẩm thấp, ô nhiễm môi trường.
- “Hướng dẫn chẩn đoán và điều trị Bệnh phổi mô kẽ” – Bộ Y tế (số 1005/QĐ-BYT, ngày 22 tháng 02 năm 2023).
- Desquamative Interstitial Pneumonia: https://www.ncbi.nlm.nih.gov/books/NBK526079/
- Desquamative Interstitial Pneumonia: https://www.msdmanuals.com/professional/pulmonary-disorders/interstitial-lung-diseases/desquamative-interstitial-pneumonia
- Desquamative interstitial pneumonia: Risk factors, laboratory and bronchoalveolar lavage findings, radiological and histopathological examination, clinical features, treatment and prognosis: https://www.spandidos-publications.com/10.3892/etm.2018.7030#
- Desquamative interstitial pneumonia: An analytic review with an emphasis on aetiology: https://err.ersjournals.com/content/22/128/117

