Bệnh lao kê là một thể lao cấp tính nặng rất ít gặp, do vi khuẩn lao lây lan ra đường máu với số lượng lớn. Đây là một bệnh lao đường máu nên vô cùng nguy hiểm. Nếu không được phát hiện và điều trị kịp thời sẽ gây ra một số hậu quả nghiêm trọng, thậm chí là ảnh hưởng tới tính mạng.
Tìm hiểu chung
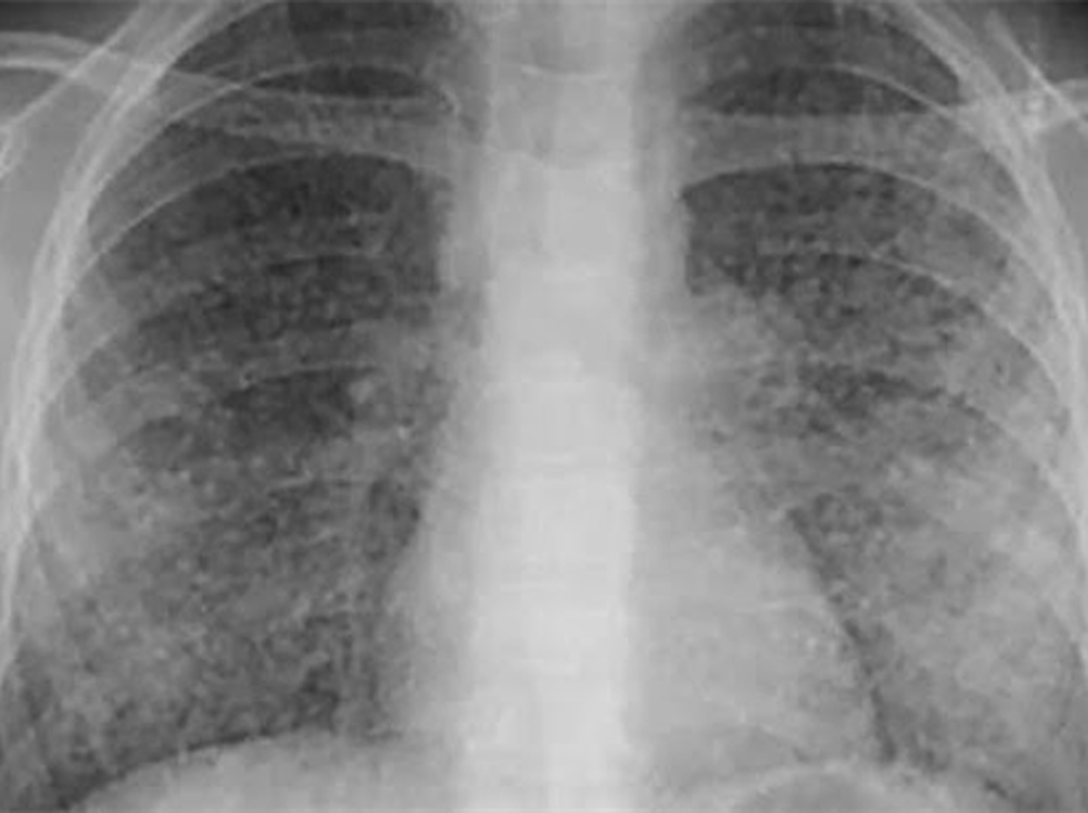
Lao kê là gì?
Bệnh lao kê là một thể lao cấp tính nặng thường ít gặp, do vi khuẩn lao Mycobacterium tuberculosislan tràn vào đường máu với số lượng lớn. Lao kê có thể là bệnh thứ phát hoặc là tiên phát, với dấu hiệu đặc trưng là khi quan sát khắp phổi xuất hiện những hạt nhỏ như kê với đường kính khoảng 1 – 3 mm.
Thông thường, bệnh hay gặp ở trẻ nhỏ hoặc người cao tuổi. Tuy nhiên những người có hệ thống miễn dịch suy giảm như HIV/AIDS, ung thư, suy dinh dưỡng, có thai,…đều có khả năng bị lao kê.
Triệu chứng
Những dấu hiệu và triệu chứng của lao kê
Những triệu chứng của lao kê thường không đặc trưng như ho hoặc hạch bạch huyết sưng to, vì vậy người bệnh thường khó nhận biết được, việc này gây cản trở quá trình điều trị.
Những dấu hiệu mà bạn thường gặp khi bị lao kê là:
- Sốt kéo dài vài tuần và thường nặng hơn vào buổi tối;
- Người ớn lạnh;
- Ho khan đôi khi bị ho ra máu;
- Người mệt mỏi, yếu đuối;
- Khó thở;
- Chán ăn;
- Sụt cân không rõ lý do;
- Đổ mồ hồi vào ban đêm;
- Tổn thương ở ngoài da;
Những dấu hiệu của lao kê thông qua thăm khám:
- Lách to (15%);
- Gan to (40%);
- Viêm tuyến tụy (<5%);
- Tràn khí màng phổi ở một hay hai bên;
- Rối loạn chức năng đa cơ quan cùng với suy thượng thận (nội tiết tố steroid không được tuyến thượng thận sản xuất đủ để điều hòa chức năng những cơ quan khác);
- Tăng canxi huyết (16-51%);
- Viêm màng não (10-30% người lớn và 20-40% trẻ em).
Dấu hiệu của bệnh lao kê ở trẻ em:
- Đau đầu, người mệt mỏi;
- Sụt cân;
- Rối loạn tiêu hóa: Đau bụng, buồn nôn, tiêu chảy, chán ăn;
- Rối loạn hô hấp: Ho, khó thở, đầu chi tím tái,…
- Sốt cao, ớn lạnh, đổ mồ hôi ở vùng trán và lưng;
- Tổn thương màng não (80%): Cổ cứng, nôn, quay mặt về phía tối;
- Khám phổi thấy có nhiều ran ẩm.
Biến chứng có thể gặp khi mắc bệnh Lao kê
Lao kê thường gây ra một số hậu quả nghiêm trọng ảnh hưởng đến cuộc sống của người bệnh nếu không được điều trị sớm:
- Suy hô hấp và khó thở;
- Tổn thương đa tạng;
- Tổn thương màng não;
- Tử vong.
Khi nào cần gặp bác sĩ?
Nếu có bất kỳ triệu chứng nào nêu trên xảy ra, bạn nên liên hệ ngay với bác sĩ để được kiểm tra và tư vấn. Chẩn đoán và điều trị sớm sẽ giảm nguy cơ tăng nặng của bệnh và giúp bạn mau chóng hồi phục sức khỏe.
Cơ địa và tình trạng bệnh lý có thể khác nhau ở nhiều người. Hãy luôn thảo luận với bác sĩ để được chỉ định phương pháp chẩn đoán, điều trị và xử lý tốt nhất dành cho bạn.
Nguyên nhân
Nguyên nhân dẫn đến lao kê
Nguyên nhân dẫn đến lao kê là do vi khuẩn lao Mycobacterium tuberculosis hominis gây ra. Đây là một trực khuẩn hiếu khí, chúng sẽ ngừng phát triển ở nhiệt độ 420C và bị tiêu diệt ở 1000 C trong vòng 10 phút.
Vi khuẩn lao thường xâm nhập vào cơ thể người bệnh qua đường hô hấp rồi trú ngụ và gây tổn thương phổi. Sau đó, chúng sẽ di chuyển ra phổi đi vào các cơ quan khác thông qua các mạch máu và hạch bạch huyết để gieo rắc bệnh tật.
Nguy cơ
Những ai có nguy cơ mắc phải (bị) lao kê?
Hầu hết tất cả mọi đối tượng, lứa tuổi đều có khả năng bị lao kê. Tuy nhiên trẻ em và người cao tuổi có nguy cơ mắc bệnh cao hơn.
Yếu tố làm tăng nguy cơ mắc (bị) lao kê
Các yếu tố làm tăng nguy cơ lao kê:
- Nghiện thuốc lá;
- Sử dụng ma túy;
- Đã từng bị bệnh lao nhưng chưa trị dứt điểm;
- Tiếp xúc trực tiếp với người bị bệnh lao;
- Hệ thống miễn dịch suy giảm, sức đề kháng yếu như bị HIV/AIDS;
- Trẻ nhỏ chưa được tiêm phòng vaccine BCG;
- Người bị thiếu cân, suy dinh dưỡng;
- Môi trường sống bị ô nhiễm.
Phương Pháp Chẩn Đoán & Điều Trị
Phương pháp xét nghiệm và chẩn đoán lao kê
Chẩn đoán lao kê bằng cách hỏi bệnh nhân những câu hỏi về các triệu chứng và khám sức khỏe. Ngoài ra, bác sĩ sẽ yêu cầu thực hiện một số xét nghiệm sau để chẩn đoán chính xác bệnh.
- Chụp CT, MRI phổi;
- Tìm vi khuẩn ở trong mẫu đờm;
- Xét nghiệm máu;
- Nội soi phế quản.
Lao kê có thể ảnh hưởng tới cơ quan khác trong cơ thể ngoài phổi, vì vậy bác sĩ có thể yêu thực hiện một vài xét nghiệm khác phụ thuộc vào vị trí bị nghi ngờ là nhiễm trùng:
- Chụp CT những bộ phận khác của cơ thể, nhất là vùng bụng;
- Siêu âm tim: Kiểm tra xem niêm mạc tim có bị nhiễm khuẩn không;
- Xét nghiệm nước tiểu để tìm vi khuẩn;
- Sinh thiết tủy xương: Sử dụng một đoạn kim nhỏ đưa vào trong xương để lấy dịch sau đó tìm kiếm vi khuẩn;
- Sinh thiết ở những vị trí được cho là nhiễm trùng.
Điều này rất quan trọng để có thể tìm ra nguyên nhân gây bệnh để giúp bác sĩ điều trị càng sớm càng tốt.
Phương pháp điều trị lao kê hiệu quả
Điều trị bằng thuốc kháng lao
Đây là phương pháp điều trị được ưu tiên với người bị bệnh lao.
Theo khuyến cáo của tổ chức Y tế Thế giới phác đồ điều trị bệnh lao kê tiêu chuẩn là sử dụng isoniazid và rifampicin trong 6 tháng, ethambutol và pyrazinamid ở hai tháng đầu tiên.
Nếu người bệnh có bằng chứng của viêm màng nào, thì việc điều trị kéo dài lên 12 tháng.
Nguyên tắc điều trị lao kê tương tự như những bệnh lao khác:
- Cần phải phối hợp các thuốc chống lao với nhau;
- Dùng thuốc đúng liều;
- Dùng thuốc đều đặn;
- Dùng thuốc đủ thời gian, qua 2 giai đoạn: Tấn công: 2 – 5 tháng và duy trì 12 – 18 tháng.
Ngoài việc sử dụng thuốc điều trị lao theo phác đồ, bệnh nhân còn được dùng thuốc triệu chứng, vitamin, nhất là phải tăng cường đầy đủ chất dinh dưỡng, đảm bảo năng lượng cho cơ thể.
Điều trị bằng corticoid
Khi màng não, tim hoặc phổi bị tổn thương nặng nề, bác sĩ có thể chỉ định tiêm corticoid.
Phẫu thuật
Phẫu thuật được thực hiện khi xuất hiện các biến chứng như áp xe.
Chế Độ Sinh Hoạt & Phòng Ngừa
Những thói quen sinh hoạt có thể giúp bạn hạn chế diễn tiến của lao kê
Chế độ sinh hoạt:
- Tuân thủ theo hướng dẫn của bác sĩ trong việc điều trị.
- Duy trì lối sống tích cực, hạn chế sự căng thẳng.
- Liên hệ ngay với bác sĩ khi cơ thể có những bất thường trong quá trình điều trị.
- Thăm khám định kỳ để được theo dõi tình trạng sức khỏe, diễn tiến của bệnh và để bác sĩ tìm hướng điều trị phù hợp trong thời gian tiếp theo nếu bệnh chưa có dấu hiệu thuyên giảm.
Phương pháp phòng ngừa lao kê hiệu quả
Để phòng ngừa bệnh hiệu quả, bạn có thể tham khảo một số gợi ý dưới đây:
- Tập thể dục thường xuyên để nâng cao sức đề kháng.
- Bỏ thuốc lá hoặc tránh khói thuốc lá.
- Duy trì lối sống tích cực, tránh căng thẳng, áp lực, stress.
- Giữ vệ sinh cá nhân: Cổ họng, răng miệng và cơ thể luôn sạch sẽ.
- Tiêm phòng vắc xin BCG cho trẻ nhỏ.
- Chế độ ăn uống đầy đủ chất dinh dưỡng.
- Tránh tiếp xúc với người bị lao phổi, nếu tiếp xúc cần phải có biện pháp tránh lây nhiễm.
- Nhà cửa và môi trường sống cần được vệ sinh sạch sẽ, thoáng mát.
- Kiểm tra sức khỏe định kỳ để kịp thời phát hiện và điều trị kịp thời.
- https://www.healthline.com/health/miliary-tuberculosis#diagnosis
- https://www.msdmanuals.com/home/infections/tuberculosis-and-related-infections/miliary-tuberculosis-tb#:~:text=(Disseminated%20Tuberculosis)&text=Miliary%20tuberculosis%20is%20so%20named,or%20occur%20throughout%20the%20body.
Dược sĩ Đại học Nguyễn Thanh Hả

