Bệnh khớp có thể là hậu quả của các rối loạn tiềm ẩn khác nhau, phổ biến nhất là bệnh tiểu đường và đột quỵ. Các biểu hiện thường gặp bao gồm sưng khớp, tràn dịch, biến dạng, không ổn định. Đau có thể ở mức độ nhẹ không cân xứng do bệnh lý thần kinh tiềm ẩn.
Tìm hiểu chung
Bệnh khớp do thần kinh là gì?
Bệnh khớp do thần kinh (hay còn gọi là bệnh Charcot) là những thay đổi về xương và khớp xảy ra thứ phát do mất cảm giác và thường liên quan nhất đến bệnh đái tháo đường, giang mai, sa xương sống, nứt đốt sống, chấn thương tủy sống và bệnh phong. Những thay đổi trên X quang của bệnh lý này bao gồm phá hủy bề mặt khớp, xương dưới sụn mờ đục, mảnh vỡ khớp, biến dạng và trật khớp.
Bệnh phong là một trong nhiều nguyên nhân gây ra bệnh khớp thần kinh. Các biểu hiện khớp của bệnh này bao gồm các dấu hiệu của bệnh khớp do thần kinh tiến triển mặc dù đã được điều trị. Bệnh khớp do thần kinh liên quan đến bệnh đái tháo đường, giang mai, bệnh phong và rối loạn mô liên kết phổ biến hơn ở người cao tuổi.
Triệu chứng
Những dấu hiệu và triệu chứng của bệnh khớp do thần kinh
Bệnh khớp thường không phát triển cho đến nhiều năm sau khi khởi phát bệnh lý thần kinh, nhưng sau đó có thể tiến triển nhanh chóng và dẫn đến mất tổ chức khớp hoàn toàn trong vài tháng. Đau là một triệu chứng ban đầu phổ biến.
Tuy nhiên, do khả năng cảm nhận cơn đau bị suy giảm nên mức độ đau thường nhẹ hơn nhiều so với mức độ tổn thương khớp. Nổi bật, thường xuất huyết, tràn dịch, trật khớp nhẹ và không ổn định của khớp thường xuất hiện trong giai đoạn đầu. Trật khớp cấp tính đôi khi cũng xảy ra.
Trong các giai đoạn sau, cơn đau có thể trầm trọng hơn nếu bệnh đã gây phá hủy khớp nhanh chóng (ví dụ: Gãy quanh khớp hoặc tụ máu). Trong giai đoạn nặng, khớp bị sưng do xương phát triển quá mức và tràn dịch khớp lớn. Biến dạng là kết quả của trật khớp và gãy xương gây di lệch. Gãy xương và quá trình lành xương có thể tạo ra nhiều mảnh sụn hoặc xương lỏng lẻo dính vào khớp, gây ra tiếng kêu lọc cọc, cọ xát, thường khó nghe thấy đối với người quan sát hơn là với bệnh nhân. Khớp có thể giống như một “túi xương”.
Mặc dù nhiều khớp có thể bị ảnh hưởng, nhưng thường gặp nhất ở đầu gối và mắt cá chân thường. Sự phân bố phụ thuộc phần lớn vào bệnh căn nguyên, như: Giang mai gây biến chứng thần kinh (tabes dorsalis) ảnh hưởng đến đầu gối và hông, và bệnh đái tháo đường ảnh hưởng đến bàn chân và mắt cá chân. Bệnh rỗng tủy xương (Syringomyelia) thường ảnh hưởng đến cột sống và các khớp chi trên, đặc biệt là khuỷu tay và vai. Thông thường, chỉ có một khớp bị ảnh hưởng và không quá hai hoặc ba (ngoại trừ các khớp nhỏ của bàn chân), phân bố không đối xứng.
Viêm khớp nhiễm trùng có thể xuất hiện kèm theo hoặc không có triệu chứng toàn thân (ví dụ: Sốt, khó chịu), đặc biệt là với bệnh đái tháo đường và cần có chỉ số nghi ngờ cao. Các cấu trúc như mạch máu, dây thần kinh và tủy sống có thể bị chèn ép do mô phát triển quá mức.
Biến chứng có thể gặp khi mắc bệnh bệnh khớp do thần kinh
Bệnh nhân khớp do thần kinh có thể gặp các biến chứng sau đây:
- Bàn chân bị mất hình dạng: Vòm ở giữa bàn chân hạ xuống cho đến khi xương thấp hơn gót chân hoặc ngón chân.
- Các ngón chân bị cong.
- Mắt cá chân bị trẹo và không vững.
- Xương đè lên giày có thể gây ra các vết loét hở trên da và có thể bị nhiễm trùng. Lưu lượng máu kém là một biến chứng thường gặp của bệnh tiểu đường, khiến nhiễm trùng khó lành. Nếu không được điều trị kịp thời có thể phải cắt cụt chi.
Khi nào cần gặp bác sĩ?
Nếu có bất kỳ triệu chứng nào nêu trên xảy ra, bạn nên liên hệ ngay với bác sĩ để được kiểm tra và tư vấn. Chẩn đoán và điều trị sớm sẽ giảm nguy cơ tăng nặng của bệnh và giúp bạn mau chóng hồi phục sức khỏe.
Nguyên nhân
Nguyên nhân dẫn đến bệnh khớp do thần kinh
Các nguyên nhân thường gặp gây bệnh khớp do thần kinh bao gồm:
- Bệnh thần kinh amyloid (bệnh amyloid thứ phát).
- Dị tật Arnold – Chiari.
- Vô cảm bẩm sinh với đau.
- Bệnh thoái hóa cột sống có chèn ép rễ thần kinh.
- Đái tháo đường.
- Bệnh thần kinh di truyền gia đình.
- Bệnh đa dây thần kinh amyloid gia đình.
- Rối loạn chuyển hóa máu trong gia đình (hội chứng Riley – Day).
- Bệnh thần kinh cảm giác di truyền.
- Bệnh thần kinh kẽ phì đại (bệnh Dejerine – Sottas).
- Teo cơ quanh miệng (bệnh Charcot-Marie-Tooth).
- Bệnh khổng lồ kèm bệnh thần kinh phì đại.
- Bệnh phong.
- Nứt đốt sống có thoát vị màng não tuỷ (ở trẻ em).
- Đột quỵ.
- Thoái hóa kết hợp bán cấp của tủy sống.
- Bệnh rỗng tủy sống hậu chấn thương.
- Đau lưng.
- Khối u và chấn thương dây thần kinh ngoại và tủy sống.
Suy giảm cảm giác đau sâu hoặc khả năng nhận thức ảnh hưởng đến phản xạ bảo vệ bình thường của khớp, thường kiến cho bệnh nhân không phát hiện ra chấn thương (đặc biệt là các đợt nhỏ lặp đi lặp lại) và gãy xương quanh khớp nhỏ. Tăng lưu lượng máu đến xương do phản xạ giãn mạch, dẫn đến quá trình tiêu xương tích cực, góp phần làm tổn thương xương và khớp.
Mỗi chấn thương mới của khớp gây ra biến dạng nhiều hơn khi nó lành lại. Tràn dịch khớp xuất huyết và nhiều gãy xương nhỏ xảy ra và đẩy nhanh tiến triển của bệnh. Sự lỏng lẻo của dây chằng, giảm trương lực cơ và sự phá hủy nhanh chóng của sụn khớp là những yếu tố phổ biến dẫn đến trật khớp và cũng là nguyên nhân đẩy nhanh sự tiến triển của bệnh. Bệnh khớp thần kinh tiến triển có thể gây ra những thay đổi phì đại, những thay đổi phá hủy hoặc cả hai.
Nguy cơ
Những ai có nguy cơ mắc phải bệnh khớp do thần kinh?
Mọi đối tượng đều có nguy cơ mắc bệnh khớp do thần kinh, đặc biệt là người cao tuổi.
Yếu tố làm tăng nguy cơ mắc phải bệnh khớp do thần kinh
Một số yếu tố làm tăng nguy cơ mắc bệnh khớp do thần kinh, bao gồm:
- Béo phì hoặc thừa cân.
- Tiền sửa bản thân hoặc thành viên gia đình từng mắc các bệnh xương khớp di truyền.
- Đã hoặc đang điều trị bệnh giang mai, bệnh phong, đái tháo đường.
Phương Pháp Chẩn Đoán & Điều Trị
Phương pháp xét nghiệm và chẩn đoán bệnh khớp do thần kinh
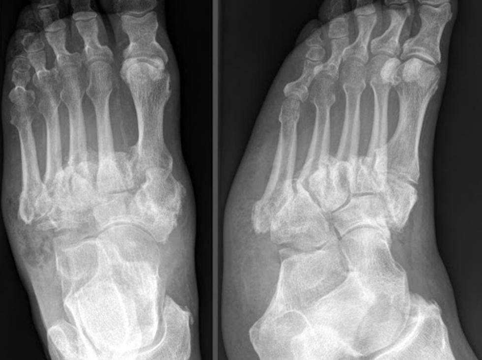
Tiến hành chẩn đoán bệnh khớp do thần kinh cho bệnh nhân mắc chứng rối loạn thần kinh có khuynh hướng phát triển một bệnh khớp có tính chất hủy hoại nhưng không gây cơn đau bất ngờ, thường kéo dài vài năm sau khi khởi phát tình trạng bệnh lý thần kinh cơ bản. Nếu nghi ngờ bệnh khớp do nguyên nhân thần kinh, nên chụp X quang. Chẩn đoán được xác định bằng những bất thường đặc trưng trên hình ảnh X quang cho bệnh nhân có nguy cơ cao hoặc có các triệu chứng và dấu hiệu điển hình.
Những bất thường trên X quang trong bệnh khớp do thần kinh thường tương tự như trong bệnh viêm xương khớp (Osteoarthritis – OA). Các dấu hiệu chính bao gồm:
- Sự phân mảnh xương;
- Hủy xương;
- Phát triển xương mới;
- Mất khe giữa các khớp.
Cũng có thể thấy cấu trúc khớp lỏng lẻo và tràn dịch khớp. Sau đó, xương bị biến dạng và hình thành xương mới liền kề với khớp, bắt đầu trong bao khớp và thường kéo dài lên trục, đặc biệt là ở các xương dài. Hiếm khi xảy ra quá trình vôi hóa và hóa lỏng trong các mô mềm. Các tế bào xương lớn, có hình dạng kỳ lạ có thể có ở rìa khớp hoặc trong khớp. Các tế bào xương cong lớn (mỏ vẹt) thường phát triển ở cột sống nếu không có bệnh lý cột sống lâm sàng.
Trong giai đoạn đầu, bệnh khớp thần kinh có thể tương tự viêm khớp. Tuy nhiên, bệnh khớp thần kinh tiến triển nhanh hơn bệnh viêm khớp và thường ít gây đau hơn.
Chẩn đoán xác định
Dựa vào tiền sử mắc phải các bệnh lý gây tổn thương thần kinh (như giang mai, phong, đái tháo đường, bệnh rỗng tủy…) gây đau, sưng khớp với tiến triển tồi tệ dần theo thời gian, bất cân xứng giữa mức độ đau với mức độ tổn thương khớp và kết hợp với chụp X quang để khẳng định chẩn đoán.
Chẩn đoán phân biệt với các bệnh lý xương khớp khác
- Thoái hóa khớp.
- Bệnh gout hoặc bệnh giả gout (lắng đọng tinh thể pyrophosphat gây viêm khớp).
- Viêm khớp nhiễm khuẩn.
- Viêm khớp do bệnh tự miễn (viêm khớp dạng thấp, viêm khớp vảy nến, viêm khớp thiếu niên…).
- Viêm khớp phản ứng.
- Hội chứng Sudeck gây loạn dưỡng thần kinh giao cảm.
Phương pháp điều trị bệnh khớp do thần kinh hiệu quả
Bệnh khớp do thần kinh hiện nay điều trị theo phương pháp:
- Điều trị nguyên nhân;
- Phẫu thuật (nếu cần).
Chẩn đoán sớm gãy xương không có triệu chứng hoặc có triệu chứng tối thiểu tạo điều kiện điều trị sớm; ổn định bằng nẹp, đinh vít bảo vệ khớp khỏi bị tổn thương thêm, có thể ngăn chặn sự tiến triển của bệnh. Phòng ngừa bệnh khớp do thần kinh có ở bệnh nhân có nguy cơ.
Điều trị tình trạng thần kinh cơ bản có thể làm chậm sự tiến triển của bệnh khớp và nếu tình trạng phá hủy khớp vẫn còn ở giai đoạn đầu, sẽ đảo ngược một phần quá trình. Đối với một khớp bị tổn thương lặp lại nhiều lần, có thể cần phẫu thuật khớp để cố định bên trong, nén và ghép xương. Đối với các khớp háng và khớp gối bị tổn thương nặng, nếu bệnh khớp thần kinh không tiến triển, có thể thay toàn bộ khớp háng và khớp gối. Tuy nhiên, sự lỏng lẻo và trật khớp của bộ phận giả là những mối nguy hiểm lớn.
Chế Độ Sinh Hoạt & Phòng Ngừa
Những thói quen sinh hoạt có thể giúp bạn hạn chế diễn tiến của bệnh khớp do thần kinh
Chế độ sinh hoạt:
- Kiểm soát lượng đường trong máu mỗi ngày đối với bệnh nhân đái tháo đường có thể giúp giảm tổn thương thần kinh. Tránh các môn thể thao hoặc bài tập có nguy cơ gây chấn thương bàn chân, chẳng hạn như đá bóng hoặc các môn thể thao có tính đối kháng.
- Tự theo dõi các triệu chứng hàng ngày và báo ngay với bác sĩ nếu có thay đổi theo hướng nghiêm trọng.
- Hạn chế sử dụng bia rượu và từ bỏ các chất kích thích (ma tuý, cocaine…).
- Tuân thủ theo hướng dẫn điều trị của bác sĩ, không tự ý thay đổi hoặc sử dụng các loại thuốc/ dược liệu/ thực phẩm chức năng khác mà chưa hỏi ý kiến bác sĩ.
Chế độ dinh dưỡng:
- Bệnh nhân mắc bệnh khớp do thần kinh cần hạn chế sử dụng các thực phẩm: Các loại thịt đỏ (thịt bò, thịt dê, thịt cừu), thức ăn nhanh, chất bẽo bão hòa, thức ăn chiên xào, các món ăn mặn, nhiều muối, thịt mỡ, thịt nguội, chà bông, xúc xích. Những loại thực phẩm này có thể làm tăng mức độ viêm khớp hoặc tăng lipid máu, kích hoạt phản ứng viêm.
- Thực phẩm cần tăng cường bổ sung: Các thực phẩm giàu Omega 3 có nhiều trong cá thu, cá ngừ, cá mòi, cá trích, cá hồi, tôm, cua.
- Thực phẩm chứa nhiều calci như đậu phụ, trứng, sữa và các sản phẩm từ sữa (sữa chua, phô mai, kem tươi…).
- Rau màu xanh đậm như cải mầm, rau bina, cải xanh, cải xoăn, bắp cải, bông cải…
- Các loại nấm.
- Các loại trái cây như đu đủ, dứa, chanh, bưởi, bơ, chuối, dâu tây bổ sung dinh dưỡng và vitamin giúp cải thiện sức đề kháng.
Phương pháp phòng ngừa bệnh khớp do thần kinh hiệu quả
Để phòng ngừa bệnh hiệu quả, bạn có thể tham khảo một số gợi ý dưới đây:
- Có chế độ ăn uống và vận động phù hợp với độ tuổi, thể trạng, sức khoẻ.
- Kiểm soát lượng đường trong máu và cân nặng.
- Nếu mắc đái tháo đường, cần phải luôn mang tất và giày, rửa chân mỗi ngày, thường xuyên kiểm tra chân cẩn thận (chú ý các vết sưng tấy, nốt mẩn…).
- Nếu trong gia đình có người mắc bệnh liên quan đến xương khớp di truyền, có thể là nguyên nhân gây bệnh khớp do thần kinh, cần thăm khám định kỳ để phát hiện bệnh và điều trị kịp thời.
1. https://www.msdmanuals.com/professional/musculoskeletal-and-connective-tissue-disorders/joint-disorders/neurogenic-arthropathy
2. https://www.webmd.com/diabetes/what-is-charcot-foot
3. https://suckhoedoisong.vn/benh-khop-do-nguyen-nhan-than-kinh-16950736.htm
4. https://emedicine.medscape.com/article/1234293-overview
Dược sĩ Đại học Trần Huỳnh Minh Nhật

