Bệnh lao phổi là gì?
Bệnh lao phổi là một bệnh truyền nhiễm nguy hiểm lây từ người này sang người khác thông qua các hạt nhỏ li ti phát tán vào không khí khi ho và hắt hơi.
Tại Việt Nam, ước tính có 180.000 người mắc bệnh lao mỗi năm, 17.000 trường hợp tử vong do lao tại Việt Nam. Tuy nhiên, chỉ 52% số người bị nhiễm được điều trị bệnh.
Bệnh lao phổi là bệnh có thể điều trị khỏi và phòng ngừa được.
1Sốt nhẹ
Sốt là triệu chứng phổ biến nhất xảy ra ở khoảng 70% bệnh nhân mắc bệnh. Giai đoạn đầu, bệnh nhân thường khởi phát sốt nhẹ về chiều.
Trong giai đoạn tiến triển, người bệnh có thể sốt cao lên đến 39 độ C. Sốt thường kéo dài trung bình 14 – 21 ngày và 98% bệnh nhân hết sốt sau 10 tuần.

2Đổ mồ hôi đêm
Đổ mồ hôi là dấu hiệu của việc hạ sốt.
Trong giai đoạn đầu, bệnh nhân sốt nhẹ và thường không kèm theo các triệu chứng khác. Sốt thường xảy ra vào cuối buổi chiều và tự hạ vào buổi tối hoặc trong lúc ngủ mà không cần dùng thuốc. Do đó, người bệnh thường than phiền triệu chứng đổ mồ hôi “trộm” về đêm.

3Suy nhược, mệt mỏi, sụt cân
Một số triệu chứng không điển hình khác của bệnh như suy nhược, mệt mỏi, sụt cân,… Tuy nhiên, bạn nên chú ý đến các dấu hiệu này vì đây có thể là dấu hiệu cảnh báo bạn đang có tình trạng nhiễm trùng huyết nếu chúng đi kèm các dấu hiệu như:
- Sốt cao liên tục
- Mệt mỏi bất thường
- Tăng nhịp tim hoặc đánh trống ngực
- Thở nhanh

4Đau ngực, khó thở
Đau ngực và khó thở tăng dần là dấu hiệu của tràn dịch màng phổi. Khoảng 50% bệnh nhân mắc lao phổi kèm dấu hiệu đau ngực được chẩn đoán tràn dịch màng phổi.

5Ho, có thể ho ra máu
Ho kéo dài trên 2 tuần là triệu chứng nghi ngờ lao quan trọng nhất. Ban đầu bệnh nhân ho khan, sau ho có đờm. Đôi khi có ho ra máu nhẹ.

6Khi nào gặp bác sĩ?
Dấu hiệu cần gặp bác sĩ
Bạn nên đến khám bác sĩ sớm nhất có thể nếu có các dấu hiệu nghi ngờ nhiễm lao phổi như:
- Sốt không rõ nguyên nhân.
- Đổ mồ hôi “trộm” về đêm.
- Ho kéo dài/ho đờm/ho ra máu.
- Đau ngực, khó thở.
- Sụt cân.
- Mệt mỏi.
Ngoài ra, Trung tâm Kiểm soát và Phòng ngừa Bệnh Tật (CDC) khuyến cáo những người có nguy cơ cao mắc bệnh lao nên được sàng lọc để phát hiện nhiễm lao tiềm ẩn. Nhóm đối tượng nguy cơ cao bao gồm:
- Người nhiễm HIV/AIDS hoặc có hội chứng suy giảm miễn dịch.
- Tiếp xúc với những người bị nhiễm bệnh, đặc biệt là trẻ em.
- Người mắc bệnh đái tháo đường, bệnh thận giai đoạn cuối hoặc một số bệnh ung thư.
- Suy dinh dưỡng.
- Đến từ quốc gia phổ biến bệnh lao, chẳng hạn như một số quốc gia ở Châu Mỹ Latinh, Châu Phi và Châu Á.
- Sống hoặc làm việc ở các khu vực phổ biến bệnh lao như trại giam, viện dưỡng lão.
- Làm việc trong lĩnh vực chăm sóc sức khỏe và điều trị những người có bệnh lao hoặc nguy cơ cao mắc bệnh lao.

Chẩn đoán
Bác sĩ chẩn đoán bệnh lao dựa vào dịch tễ, triệu chứng lâm sàng và xét nghiệm cận lâm sàng.
Chẩn đoán dựa trên triệu chứng lâm sàng bao gồm: sốt nhẹ về chiều, ra mồ hôi đêm, chán ăn, mệt mỏi, gầy sút cân, ho, khạc đờm, ho ra máu, đau ngực, khó thở. Khám phổi nghe có thể có ran nổ, ran ẩm,…
Các xét nghiệm cận lâm sàng dùng để chẩn đoán:
- Nhuộm soi đờm trực tiếp tìm AFB: Tất cả những người có triệu chứng nghi lao đều phải xét nghiệm đờm để phát hiện lao phổi. Xét nghiệm 2 mẫu đờm tại chỗ. Lưu ý: thời điểm lấy mẫu 1 và mẫu 2 phải cách nhau ít nhất là 2 giờ.
- Xét nghiệm Xpert MTB/RIF: Cho kết quả sau khoảng 2 giờ với độ nhạy và độ đặc hiệu cao. Các trường hợp AFB(+) cần được làm xét nghiệm Xpert để biết tình trạng kháng thuốc trước khi điều trị.
- Nuôi cấy tìm vi khuẩn lao: Nuôi cấy trên môi trường đặc cho kết quả dương tính sau 3-4 tuần. Nuôi cấy trong môi trường lỏng (MGIT – BACTEC) cho kết quả dương tính sau 2 tuần.
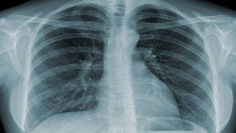
- X-quang phổi thường quy: Có hình ảnh thâm nhiễm, nốt, hang là gợi ý của bệnh lao. Có thể thấy hình ảnh co kéo ở 1/2 trên của phế trường, có thể 1 hoặc 2 bên.
X-quang phổi có giá trị sàng lọc cao với độ nhạy trên 90% với các trường hợp lao phổi AFB(+). Tuy nhiên, độ đặc hiệu không cao nên không được khẳng định chẩn đoán lao phổi chỉ dựa trên xét nghiệm này.
Ngoài ra, X-quang phổi còn có tác dụng đánh giá đáp ứng với điều trị thử bằng kháng sinh thông thường trước khi chẩn đoán lao phổi không có bằng chứng vi khuẩn và để đánh giá kết quả điều trị lao sau 2 tháng và kết thúc điều trị.

Chụp X-quang phổi có giá trị sàng lọc cao lên đến 90%
Các bệnh viện điều trị lao phổi uy tín
- Tại Thành phố Hồ Chí Minh: Bệnh viện Y khoa Phạm Ngọc Thạch, Bệnh viện Đại học Y Dược 1, Phòng khám và điều trị Phổi Việt,…
- Tại Hà Nội: Bệnh viện Bạch Mai, Bệnh viện Phổi Trung ương, Bệnh viện Đại học Y Hà Nội,…
Xem thêm: Bạn có biết cách phòng ngừa bệnh lao phổi
Bài viết trên giới thiệu khái quát về các triệu chứng nhận biết bệnh lao phổi. Hãy chia sẻ nếu thấy bài viết hay và hữu ích nhé!
Nguồn tham khảo: Mayo Clinic, Heath, NCBI,

